Ceramill Zirconia- Amann Girrbach

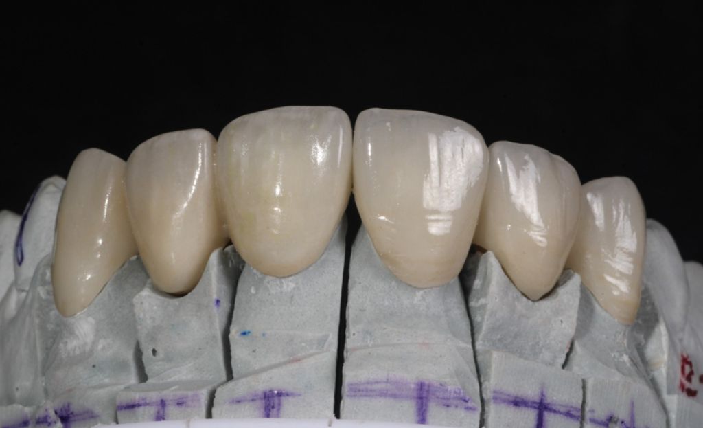
The high-strength Ceramill zolid FX  is a pre-shaded, pre-colored layered disc from Amann Girrbach that can provide highly aesthetic results while minimizing the production process in the laboratory. Because of these individual layers, our technicians can achieve natural coloration by only polishing or glazing the final restoration. No dipping or staining of the crowns is ever necessary.

A highly versatile zirconia, Ceramill Zolid is indicated for exceptionally esthetic restorations in the anterior and posterior region, veneers, inlays/onlays.

Shoulder preparation not needed. A mild champfer or a feather edge margin is good. 1mm buccal, lingual and occlusal reduction is ideal, but can go to .5mm in some areas, when reduction is limited.

Minimum occlusal reduction of 0.5 mm; 1 mm is ideal.

Adjustments and polishing: Adjust zirconia crowns and bridges using water and air spray to keep the restoration cool and to avoid micro-fractures with a fine grit diamond. If using air only, use the lightest touch possible when making adjustments. A football-shaped bur is the most effective for occlusal and lingual surfaces (on anterior teeth); a tapered bur is the ideal choice for buccal and lingual surfaces.

Polish zirconia restorations with the porcelain polishing system of your choice.

Ceramill Zolid zirconia may be cemented using a resin reinforced glass ionomer such as Relyx Luting cement. When a greater bond is needed due to the lack of a retentive preparation, use resin cement like Relyx Unicam or Relyx Ultimate.

Before cementing all Ceramill zirconia crowns, the interior surface of the crown needs to be cleaned with Ivoclean (Ivoclar Vivadent; Amherst N.Y.). This is critical in assuring maximum bond strength.

Pearl Surface Z is a diamond paste ideal for polishing the zirconia surface to a final finish on Full Contour Zirconia Crowns. Specially developed for Ceramill zirconia, it is the simplest and fastest way to achieve finished Full Contour Zirconia Crowns.Polish solid zirconia restorations with the porcelain polishing system of your choice.

Indication

A highly versatile zirconia, Ceramill Zolid is indicated for exceptionally esthetic restorations in the anterior and posterior region, veneers, inlays/onlays.

Preparation

Shoulder preparation not needed. A mild champfer or a feather edge margin is good. 1mm buccal, lingual and occlusal reduction is ideal, but can go to .5mm in some areas, when reduction is limited.

Minimum occlusal reduction of 0.5 mm; 1 mm is ideal.

Adjustments and polishing: Adjust zirconia crowns and bridges using water and air spray to keep the restoration cool and to avoid micro-fractures with a fine grit diamond. If using air only, use the lightest touch possible when making adjustments. A football-shaped bur is the most effective for occlusal and lingual surfaces (on anterior teeth); a tapered bur is the ideal choice for buccal and lingual surfaces.

Polish zirconia restorations with the porcelain polishing system of your choice.

Cementation

Ceramill Zolid zirconia may be cemented using a resin reinforced glass ionomer such as Relyx Luting cement. When a greater bond is needed due to the lack of a retentive preparation, use resin cement like Relyx Unicam or Relyx Ultimate.

Before cementing all Ceramill zirconia crowns, the interior surface of the crown needs to be cleaned with Ivoclean (Ivoclar Vivadent; Amherst N.Y.). This is critical in assuring maximum bond strength.

Tech Notes

Pearl Surface Z is a diamond paste ideal for polishing the zirconia surface to a final finish on Full Contour Zirconia Crowns. Specially developed for Ceramill zirconia, it is the simplest and fastest way to achieve finished Full Contour Zirconia Crowns.Polish solid zirconia restorations with the porcelain polishing system of your choice.

Start Your New Experience With Us